Quick Fix: Saving a Chipped or Knocked-Out Tooth in Downey

Accidents happen, and when it comes to kids, a chipped or knocked-out tooth is one of the most common dental emergencies. Whether it’s from a fall, a playground mishap, or a sports injury, it’s essential for parents to know the right steps to take when such an accident occurs. Dr. Yasmine Zadeh, a pediatric dentist in Downey, CA, shares her expert advice on how to handle a chipped or knocked-out tooth and the best ways to act fast in these emergency situations.

 

 

Common Causes of Chipped or Knocked-Out Teeth in Kids

There are many ways kids can injure their teeth, with falls and accidents being the most frequent causes. For young children, a simple loss of balance while learning to walk or run can lead to a fall that chips or breaks their front teeth. As kids grow older, sports like basketball, baseball, or even rough play with friends can cause trauma to the teeth, leading to fractures or knockouts.

Parents may also encounter chipped or knocked-out teeth during everyday activities, like playing on the playground or running around the house. Regardless of the cause, it’s important to be prepared and know how to respond if your child’s tooth becomes damaged.

What to Do If a Permanent Tooth Falls Out

The first few minutes after a permanent tooth has been knocked out are critical. Dr. Zadeh stresses that timing is essential in saving a permanent tooth. If the tooth is knocked out, the best approach is to act quickly and carefully:

  1. Pick Up the Tooth: Gently pick up the tooth by the crown (the top part), not by the root. Avoid touching the root to prevent damaging delicate tissue.
  2. Place the Tooth in Milk: Once you have the tooth, place it in a container of milk. This preserves the tooth’s cells and helps keep it viable. If milk is unavailable, placing the tooth in your child’s saliva or in a saline solution is the next best option.
  3. Get to the Dentist Quickly: Time is of the essence—get to a pediatric dentist as quickly as possible. The chances of successfully saving the tooth are highest if the tooth is re-implanted within 15 minutes of being knocked out. After 30 minutes, the survival rate begins to decline, and after an hour, the likelihood of saving the tooth is very low.

Dr. Zadeh emphasizes that parents should not waste time looking for the tooth or trying to clean it thoroughly. The focus should be on preserving the tooth’s condition and rushing to the dentist immediately. The faster the tooth is put in milk and transported to the dentist, the better the chances for successful re-implantation.

What to Do If a Baby Tooth Falls Out

While permanent teeth should be re-implanted if knocked out, the situation is different with baby teeth. For baby teeth, the recommendation is not to try to put the tooth back into the socket. In fact, attempting to do so can cause damage to the permanent teeth developing beneath them. If your child loses a baby tooth, it’s important to:

  • Leave the Tooth Out: Do not attempt to reinsert the baby tooth. Instead, keep it clean and bring it to the dentist so that they can examine the area and ensure that no damage has occurred to the permanent tooth beneath it.
  • Visit the Dentist: Even though baby teeth are temporary, it’s still important to visit a pediatric dentist. The dentist will check the surrounding teeth and ensure there’s no further injury to the gums or the permanent teeth developing underneath.

Dr. Zadeh explains that baby teeth play a crucial role in maintaining the proper alignment of permanent teeth, so ensuring that they’re properly cared for is just as important, even though they will eventually fall out on their own.

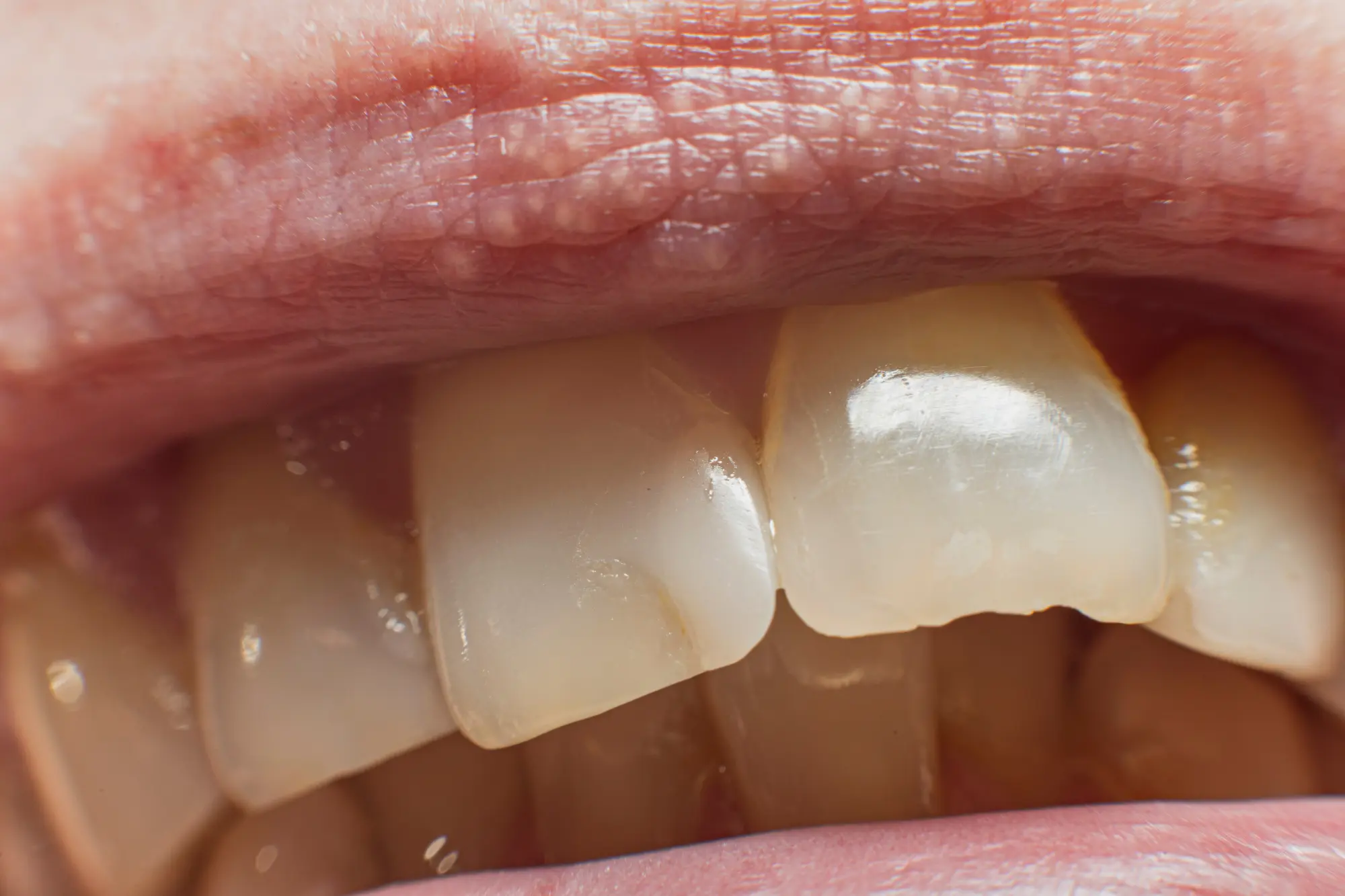
Handling a Chipped Tooth

A chipped tooth may not seem as serious as a fully knocked-out tooth, but it can still cause significant issues if not treated properly. If a tooth is chipped, here are the steps parents should take:

  1. Save Any Fragments: If part of the tooth breaks off, try to locate and save the fragment. Bringing the piece to the dentist can help with repairs and improve the chances of restoring the tooth.
  2. Rinse and Protect: Have your child rinse their mouth gently with warm water to clean the area. If the tooth is sharp, applying a piece of sugar-free gum or dental wax can help cover the rough edges until you can get to the dentist.
  3. Schedule a Dental Visit: Even if the chip is small, it’s important to schedule a visit to the dentist as soon as possible. Dr. Zadeh will assess the extent of the damage and determine the best course of action for restoring the tooth. Sometimes, a filling or dental crown may be necessary, depending on the severity of the chip.

How to Stay Calm During a Dental Emergency

In any emergency, especially when a child is in pain, it’s natural for parents to feel panicked. However, Dr. Zadeh reminds parents that children tend to mirror the emotions of those around them. If parents are calm, their children are more likely to stay calm too. Here’s how parents can handle the situation:

  • Stay Focused: Take a moment to assess the situation and prioritize what needs to be done. Is there bleeding from the mouth, or is the child showing signs of concussion? If the child has sustained a head injury or is feeling disoriented, the head injury should be addressed first by seeking medical help at an emergency room.
  • Keep Your Child Calm: If your child is upset, reassure them with a calm tone and let them know you are taking care of things. If they see you handle the situation calmly, they will be less likely to panic.
  • Avoid Scrubbing the Tooth: If the tooth falls out, don’t try to scrub it clean. Simply rinse it gently under water or place it in milk. Scrubbing can damage the cells on the root and decrease the chance of saving the tooth.

When to Visit the Emergency Room vs. the Dentist

There are times when a dental emergency may require a trip to the emergency room. If your child has suffered a blow to the head, resulting in a possible concussion, dizziness, blurry vision, or nausea, it’s crucial to seek immediate medical attention at the ER before addressing the tooth injury. However, if the injury involves the teeth alone and the head appears unaffected, visiting a pediatric dentist as soon as possible is the best course of action.

Be Prepared for Dental Emergencies

Accidents happen, and when they involve your child’s teeth, it’s important to stay calm and know the steps to take. Whether it’s a chipped tooth or a knocked-out tooth, acting quickly and properly can make all the difference in saving the tooth and preventing further damage.

Let’s Get Your Child Scheduled at our Downey Office Today

At Children’s Happy Teeth in Downey, CA, Dr. Yasmine Zadeh and her team are ready to help with dental emergencies and ensure your child’s smile stays healthy. If your child has experienced a dental injury, don’t hesitate—schedule an appointment right away to get the care they need!

Leave a Reply

Your email address will not be published. Required fields are marked *